Rising incidence, expanding possibilities
Each year, more than 430,000 people are diagnosed with kidney cancer (also known as renal cancer), and incidence continues to rise worldwide.1, 3
Surgery remains the standard for early-stage disease, and interventional radiology techniques such as thermal ablation offer curative options for patients who cannot undergo surgery. Yet many patients are still unsuitable for either approach due to other health conditions, tumor location or reduced kidney function. For these patients, radiotherapy is expanding possibilities, offering a curative, non-invasive option that helps preserves kidney function and quality of life.7, 8, 11, 12
people affected each year
Precision that changes what’s possible
Key studies show that high-dose, image-guided SBRT delivers the stronger doses kidney tumors require, providing durable control with low side effects.
Managing up to 4cm of motion
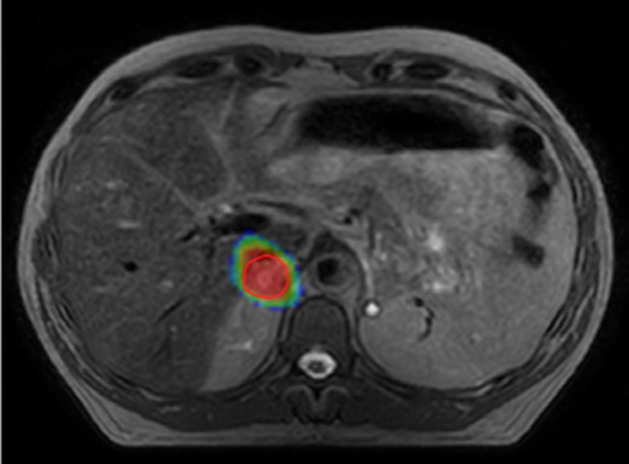
Kidneys can move by as much as 4 cm during normal breathing, so daily imaging and motion control are essential for accurate treatment and healthy-tissue protection.13
>90% local control and survival
Across multiple trials, SBRT achieved 96% two-year and 91% four-year cancer-specific survival, with no grade 3–5 side effects, matching surgical outcomes for selected patients.12
Excellent control with MR-guided adaptive SBRT
If surgery isn’t possible for people with localized kidney cancer, stereotactic MR-guided adaptive radiotherapy offers a safe, noninvasive treatment option with minimal impact on kidney function.11
Delaying systemic therapy while maintaining control
In oligometastatic and oligoprogressive renal cell carcinoma (RCC), SBRT delivers excellent one-year survival and can extend the time before systemic therapy is needed by well over a year.3, 4, 9, 10
How adaptive radiotherapy helps you respond to clinical changes
| Your challenge | Adaptive helps you... |
| Tumor motion from breathing or organ movement (e.g. bowel, liver) | Adapt the plan in real time using imaging to maintain precision and protect surrounding tissue |
| Impaired kidney function or a single kidney | Adjust the dose each day to minimize exposure to healthy kidney tissue and help preserve remaining function |
| Oligometastatic or oligoprogressive disease | Deliver targeted, ablative doses to active tumor sites helping to delay the need for systemic therapy while maintaining overall treatment options |
| Limited surgical options or other health conditions | Offer a non-invasive treatment alternative using precise SBRT that avoids surgery and limits dose to healthy tissue. |
| Anatomical or biological changes during treatment | Re-plan based on daily imaging so the treatment continues to match the patient’s anatomy throughout the full course of therapy |
Clinics are already adapting and redefining what’s possible
Nobody does adaptive like Elekta
Kidney cancer brings distinct clinical challenges, constant organ motion, proximity to critical anatomy, and patients with reduced kidney function. Our adaptive solutions allow daily re-planning based on each patient’s anatomy, helping you to deliver ablative doses safely while protecting renal health. More than that, we’re your partner, helping you confidently achieve kidney-sparing precision and curative intent across localized and oligometastatic disease.

Creating curative options where surgery can’t
Kidney tumors move with every breath, and nearby anatomy like the liver, bowel, and spine sit within millimeters of the target.
Adaptive techniques bring the precision required to deliver ablative doses safely, continuously adjusting for motion to protect healthy kidney tissue and preserve function.11
For patients with a single kidney or pre-existing renal impairment, this precision can make curative radiotherapy a reality.
Safely deliver high doses to improve clinical outcomes
Conventional SBRT can deliver curative doses, but kidney motion and daily anatomical changes make accuracy difficult. Adaptive radiotherapy and image-guidance address this by allowing you visualise and if needed, to adjust to those changes in real time. Adaptive workflows provide the precision needed to deliver the high, ablative doses required for radio-resistant kidney tumors, enabling you to improve outcomes safely and effectively.
With online adaptive, you can:
Maintain accuracy throughout treatment
Adapt plans daily to manage breathing-related motion and changes in surrounding anatomy.6, 7
Preserve kidney function
Reduce dose to healthy kidney tissue and nearby organs such as the bowel and liver.8
Personalize with confidence
Use integrated imaging and automation to adjust plans quickly and consistently without delaying treatment.
Share your thoughts
We're asking how centers are approaching adaptive radiotherapy, where are you on the journey?
1. Why are you interested in content on adaptive radiotherapy?
Delivering the future of kidney cancer treatment
From localized kidney tumors to oligometastatic disease, radiotherapy is transforming the treatment landscape for kidney cancer.
Advances in adaptive and image-guided techniques now allow you to deliver ablative precision while preserving kidney function and protecting surrounding organs.
By responding to each patient’s anatomy in real time, these approaches are expanding access to curative treatment for people who previously had limited options, bringing a new level of precision, safety, and personalization to kidney cancer care.
Explore our adaptive solutions for kidney cancer
Our image-guided adaptive solutions help you tailor your treatment plan to the patient in front of you, protecting healthy kidney tissue while increasing dose.
References
- 2025 Global Impact Report - aboutadaptive.com (Accessed: 3 November 2025).
- International Agency for Research on Cancer (IARC). GLOBOCAN 2022: Kidney Cancer, Both Sexes, All Ages. Lyon, France: IARC; 2023. Available at: https://gco.iarc.fr/today.
- Tang C, Msaouel P, Hara K, et al. Definitive radiotherapy in lieu of systemic therapy for oligometastatic renal cell carcinoma: a single-arm, singlecentre, feasibility, phase 2 trial. Lancet Onocl. 2021;22(12):1732-1739.
- 28. Tang C, Sherry A, Seo A, et al. Metastasis-directed radiotherapy without systemic therapy for oligometastatic clear-cell renal-cell carcinoma: primary efficacy analysis of a single-arm, single-centre, phase 2 trial. Lancet Oncol. 2025; online first, Sept 4.
- 62. Cirillo N, Innocenti S, Becherucci F. Global epidemiology of kidney cancer. Neph Dialysis Trans. 2024;39(6):920-928.
- 63. American Cancer Society. Radiation therapy for kidney cancer. Revised 5/1/24. Available at: https://www.cancer.org/cancer/types/kidneycancer/treating/radiation.html.
- 64. Christensen M, Hannan R. The emerging role of radiation therapy in renal cell carcinoma. cancers (Basel). 2022 Sep 27;14(19):4693. doi: 10.3390/ cancers14194693. PMID: 36230615.
- 65. Siva S, Louie AV, Kotecha R, et al. Stereotactic body radiotherapy for primary renal cell carcinoma: a systematic review and practice guideline from the International Society of Stereotactic Radiosurgery (ISRS). Lancet Oncol. 2024;25(1):E18-E28.
- 66. Cheung P, Patel S, North SA, et al. Stereotactic radiotherapy for oligoprogression in metastatic renal cell cancer patients receiving tyrosine kinase inhibitor therapy: A Phase 2 prospective multicenter study. Eur Urol. 2021;80(6):693-700.
- 67. Hannan R, Christensen M, Hammers H, et al. Phase II trial of stereotactic ablative radiation therapy for oligoprogressive metastatic kidney cancer. Eur Urol Oncol. 2022;5(2):216-224.
- 68. Yim K, Hsu S-H, Nolazco JI, et al. Stereotactic magnetic resonance guided adaptive radiation therapy for localized kidney cancer: Early outcomes from a prospective Phase 1 trial and supplemental cohort. Eur Urol Oncol. 2024;7(1):147-150.
- 69. Siva S, Correa RJM, Warner A, et al. Stereotactic ablative radiotherapy for >T1b primary renal cell carcinoma: A report from the International Radiosurgery Oncology Consortium for Kidney (IROCK). Int J Radiat Oncol Biol Phys. 2020;108(4):941-949.
- Pham D et al. A review of kidney motion under free, deep and forced-shallow breathing conditions: implications for stereotactic ablative body radiotherapy. Technol Cancer Res Treat. 2014;13(4):315–323.



